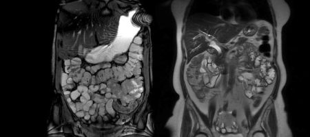
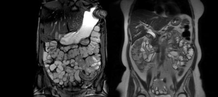
Tüm Vücut MR Nedir? Tüm vücut MR, manyetik rezonans görüntüleme yöntemi ile vücudun baştan ayağa kadar ayrıntılı bir şekilde incelenmesidir. Bu yöntem sayesinde beyin, omurga, boyun, göğüs, karın, pelvis, kas ve iskelet sistemi organları tek bir tetkik ile görüntülenebilir. Amaç, hastalıkların erken dönemde tespit edilmesi ve tedavi planının doğru şekilde yapılabilmesidir. Kanser taramaları, metastaz araştırmaları, […]